斯坦福大学团队在《Science》发表研究:通过阻断一种叫15-PGDH的蛋白质,成功让老年小鼠的膝盖软骨重新长出来,还能防止运动损伤后发展成关节炎。
15-PGDH是一种“衰老酶”,会随年龄增长在体内积累,导致组织功能下降。研究发现老年小鼠关节中这种蛋白的水平是年轻小鼠的两倍。用小分子药物抑制它后,原本变薄的软骨明显增厚,而且长出来的是功能完好的透明软骨,不是质量较差的纤维软骨。
更有意思的是,这个过程不依赖干细胞。软骨细胞直接改变了自己的基因表达模式,变得更"年轻"——产生健康软骨的细胞比例从22%升到了42%。研究团队还用人类膝关节置换手术中取出的组织做了验证,效果同样积极。
骨关节炎影响约五分之一的美国成年人,目前只能止痛或换关节,没有药能真正逆转病程。这款药物的口服版已在进行针对肌肉无力的一期临床试验,团队希望软骨再生的临床试验也能尽快启动。
-----
《抗衰老注射剂竟能让膝盖软骨再生,还能预防关节炎》
作者:SciTechDaily
来源:https://t.co/rXtarFYIJf
科学家们发现了一种通过靶向特定的“衰老蛋白”来让软骨再生的方法。这种方法不仅能逆转老年动物的关节损伤,还能在受伤后预防关节炎的发生。图片来源:Stock
一种能阻断“衰老相关蛋白”的新疗法,通过对现有细胞进行“重编程”(而非使用干细胞),成功在老化和受损的关节中恢复了软骨组织。
研究人员报告称,阻断一种与衰老紧密相关的蛋白质,可以让老龄小鼠膝盖中自然磨损的软骨重新长出来。在这项研究中,这种注射疗法不仅重建了软骨,还在膝盖受伤(类似于运动员和好动成年人常见的前交叉韧带/ACL撕裂)后,成功阻止了关节炎的发展。目前,该疗法的口服药版本已经在进行临床试验,旨在治疗与衰老相关的肌肉无力。
在关节置换手术中收集的人类膝盖组织对这种治疗也产生了积极反应。这些样本——包括关节的支撑结构(细胞外基质/Extracellular Matrix,即细胞居住的支架)和产生软骨的软骨细胞(Chondrocytes)——开始形成功能正常的新软骨。
综合来看,这些发现指向了一个令人兴奋的可能性:未来我们或许可以通过局部注射或口服药物,来恢复因衰老或关节炎通过流失的软骨,从而彻底消除进行膝盖或髋关节置换手术的必要。
直击骨关节炎的根本病因
这种疗法不仅仅是缓解症状,而是直击**骨关节炎(Osteoarthritis)**的根本驱动因素。骨关节炎是一种退行性关节疾病,在美国影响着大约五分之一的成年人,每年产生的直接医疗费用估计高达 650 亿美元。目前,市面上没有任何药物可以阻止或逆转这种疾病,患者的主要选择只能是疼痛管理(吃止痛药)或关节置换手术。
该疗法靶向一种名为 15-PGDH 的蛋白质。随着人体衰老,这种蛋白质的含量会越来越高,科学家将其归类为衰老酶(Gerozyme)。
注: 衰老酶(Gerozyme) 是该研究团队在 2023 年首次描述的一个概念。它指的是那些随着年龄增长而活性增强,并导致组织功能逐渐衰退的酶。可以把它想象成身体里导致“生锈”的催化剂。
在小鼠体内,15-PGDH 水平的升高是导致老年肌肉力量流失的关键因素。当科学家使用小分子药物阻断这种蛋白质时,老龄小鼠的肌肉质量和耐力都得到了提升。相反,如果强迫年轻小鼠产生过多的 15-PGDH,它们的肌肉就会萎缩变弱。这种蛋白质还被发现与骨骼、神经和血细胞的再生有关。
在上述组织中,修复通常依赖于激活组织特异性的干细胞。但软骨的情况截然不同。软骨细胞并不依赖干细胞,而是通过改变自身的基因活动,恢复到更年轻的状态。这就像是细胞层面的“返老还童”,让再生在没有干细胞参与的情况下发生。
“这是一种让成人组织再生的全新方式,对于治疗因衰老或受伤引起的关节炎具有巨大的临床前景,”斯坦福大学微生物学和免疫学教授 Helen Blau 博士说。“我们原本是在寻找干细胞,但很明显它们并没有参与其中。这太令人兴奋了。”
该研究发表在权威期刊《科学》(Science)上,Helen Blau 博士和斯坦福大学骨科副教授 Nidhi Bhutani 博士是该研究的资深作者。骨科讲师 Mamta Singla 博士和前博士后学者 Yu Xin (Will) Wang 博士是该研究的主要作者。Wang 博士目前是圣地亚哥桑福德·伯纳姆研究所的助理教授。
“戏剧性”的再生效果
“随着年龄增长,数以百万计的人饱受关节疼痛和肿胀的折磨,”Bhutani 博士说。“这是一个巨大的未被满足的医疗需求。直到现在,还没有药物能直接治疗软骨流失的根源。但这种衰老酶抑制剂引发了戏剧性的软骨再生效果,超越了以往任何药物或干预手段的报告。”
人体内主要有三种类型的软骨:
1. 弹性软骨:柔软灵活,构成外耳等结构。
2. 纤维软骨:致密坚韧,存在于脊椎骨之间,用于吸收冲击。
3. 透明软骨(Hyaline Cartilage):光滑有光泽,为脚踝、臀部、肩膀和膝盖部分等关节提供低摩擦表面,起到润滑和灵活作用。透明软骨(也称为关节软骨)是骨关节炎中最常受损的类型。
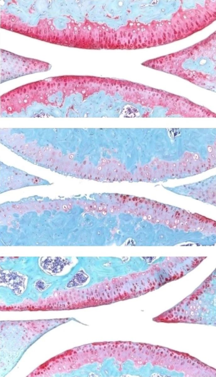
(图2)
上图:年轻小鼠的膝关节;中图:老龄小鼠的膝关节;下图:经过治疗的老龄小鼠膝关节。红色部分表示软骨。图片来源:Nidhi Bhutani
当关节因衰老、受伤或肥胖而承受压力时,骨关节炎就会发生。软骨细胞开始释放促炎分子,并分解胶原蛋白(Collagen)——这是软骨的主要结构蛋白。当胶原蛋白流失,软骨就会变薄、变软;随之而来的炎症会导致关节肿胀和疼痛,这也是该病的标志性症状。
在正常情况下,关节软骨极难再生。虽然科学家在骨骼中发现了一些可能生成软骨的干细胞群,但在关节软骨中寻找类似细胞群的尝试一直没有成功。
Blau 实验室之前的研究表明,一种名为**前列腺素 E2(Prostaglandin E2)**的分子对肌肉干细胞功能至关重要。而 15-PGDH 这种酶会降解前列腺素 E2。因此,抑制 15-PGDH 的活性(或者直接提高前列腺素 E2 的水平)可以支持年轻小鼠受损肌肉、神经、骨骼、结肠、肝脏和血细胞的再生。
Blau、Bhutani 和他们的同事想知道,15-PGDH 是否也在软骨和关节老化中扮演了类似的角色。当他们比较年轻和年老小鼠膝盖软骨中的 15-PGDH 含量时,发现这种“衰老酶”的水平随着年龄增长增加了约两倍。
随后,他们尝试给老龄动物注射一种能抑制 15-PGDH 活性的小分子药物——首先是腹部注射(影响全身),然后是直接注射到关节中。在这两种情况下,老龄小鼠原本明显变薄、功能退化的膝盖软骨,都在关节表面重新变厚了。进一步的实验证实,关节中的软骨细胞生成的是高质量的透明软骨,而不是功能较差的纤维软骨。
“在老龄小鼠身上看到如此程度的软骨再生让我们大吃一惊,”Bhutani 说,“效果非常显著。”
解决 ACL 撕裂后的隐患
在患有膝盖损伤(如 ACL 撕裂)的动物身上也观察到了类似的结果。ACL 撕裂在足球、篮球和滑雪等需要突然急转、急停或跳跃的运动中经常发生。虽然撕裂可以通过手术修复,但大约 50% 的人在受伤后 15 年内会在该关节处患上骨关节炎。
研究人员发现,在受伤后,连续四周每周注射两次“衰老酶抑制剂”,可以大幅降低小鼠患骨关节炎的几率。相比之下,接受对照药物治疗的动物,其体内的 15-PGDH 水平是未受伤同伴的两倍,并在四周内就患上了骨关节炎。
接受“衰老酶抑制剂”治疗的动物运动更加正常,并且比未治疗的动物更敢于用受伤的腿负重。
“有趣的是,前列腺素 E2 过去一直被认为与炎症和疼痛有关,”Blau 解释道,“但这项研究表明,在正常的生物水平下,前列腺素 E2 的小幅增加实际上能促进再生。”
对老年小鼠和年轻小鼠关节中软骨细胞的深入调查显示,老年软骨细胞表达了更多有害基因(涉及炎症和将透明软骨转化为不需要的骨骼),而表达软骨发育相关基因较少。
无需干细胞,直接“重编程”软骨细胞
研究人员还精准定位了老年软骨细胞的亚群,这些细胞在治疗后改变了基因表达模式:
1. “坏分子”减少:一种表达 15-PGDH 并参与软骨降解的细胞,治疗后比例从 8% 降至 3%。
2. “疤痕制造者”减少:另一种不表达 15-PGDH 但表达纤维软骨(类似疤痕组织)生成基因的细胞,治疗后比例从 16% 降至 8%。
3. “再生主力”增加:第三种细胞群不产生 15-PGDH,但表达形成透明软骨和维持细胞外基质所需的基因,治疗后其比例从 22% 飙升至 42%。
这些发现表明,治疗后基因表达发生了整体转变,恢复到了更年轻的软骨构成——而且这一过程完全没有干细胞或祖细胞的参与。
最后,研究人员研究了从接受全膝关节置换术的骨关节炎患者身上取下的人类软骨组织。经过 15-PGDH 抑制剂处理一周的组织,表现出更低水平的 15-PGDH 表达细胞,软骨降解基因和纤维软骨基因也减少了,并且开始再生关节软骨。
“这种机制非常惊人,真正改变了我们要如何实现组织再生的看法,”Bhutani 说,“很明显,软骨中大量现存的细胞正在改变它们的基因表达模式。通过靶向这些细胞进行再生,我们在临床上可能产生更大的整体影响。”
Blau 补充道:“针对肌肉无力的 15-PGDH 抑制剂的一期临床试验已经表明,该药物在健康志愿者中是安全且有效的。我们希望类似的试验能很快启动,以测试其在软骨再生方面的效果。这个潜在的突破让我们非常兴奋。想象一下,让现有的软骨重新生长,从而避免关节置换手术。”
参考文献: “Inhibition of 15-hydroxy prostaglandin dehydrogenase promotes cartilage regeneration” by Mamta Singla, Yu Xin Wang, Elena Monti, Yudhishtar Bedi, Pranay Agarwal, Shiqi Su, Sara Ancel, Maiko Hermsmeier, Nitya Devisetti, Akshay Pandey, Mohsen Afshar Bakooshli, Adelaida R. Palla, Stuart Goodman, Helen M Blau and Nidhi Bhutani, 27 November 2025, Science. DOI: 10.1126/science.adx6649
点击图片查看原图
点击图片查看原图